肝海绵状血管瘤-CH-001-LT-000276


      一般情况:CH-001-LT-000276,40岁女性患者,身高160cm,体重60.00kg,
      主诉:查体发现肝血管瘤半年。
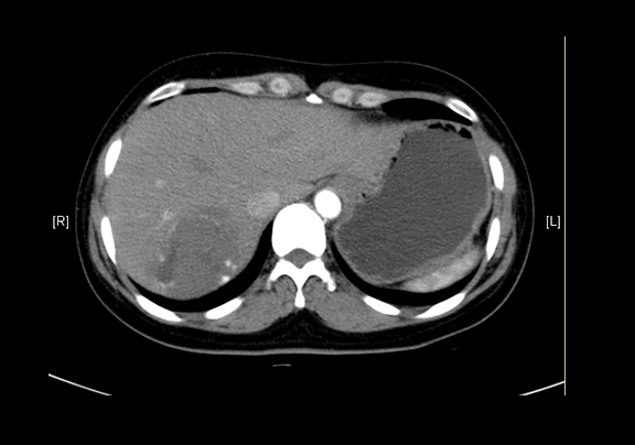
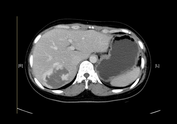
      现病史:患者查体发现肝血管瘤半年,无腰背部放射痛、皮肤巩膜黄染、恶心、呕吐、寒战、高热、腹泻、血便、咳嗽、咳痰、胸闷、气短、尿频、尿急、尿痛、血尿,未予治疗。行上腹部增强CT示:肝血管瘤。
     查体:腹部平坦,对称,无腹壁静脉曲张,无胃肠型和蠕动波,腹部柔软,无压痛及反跳痛,未触及异常包块。肝、脾肋下未触及,Murphy氏征阴性。腹部叩诊:肝上界在右锁骨中线第五肋间,肝、肾区无叩击痛,无移动性浊音。肠鸣音正常,4次/分。未听到血管杂音。

整理:崔楷悦,吴萤      3D:周显军,朱呈瞻
辅助检查: 下腹部增强CT示:肝内多发血管瘤可能性大,肝囊肿

实验室检查:
血常规:WBC 4.11*10~9/L NEU 2.49*10~9/L RBC 3.97*10~12/L HB 114.00g/L PLT198.00*10~9/L
生化全套:ALT 6.8U/L AST 11.1U/L TP 62.3g/L ALB 37.6g/L GGT 9.1U/L BIL-T 15.5umol/L BIL-D 4.8umol/L BUN 5.89mmol/L CREA 74.9umol/L T-CHO 3.53mmol/L
肿瘤标志物:AFP2.03ng/mL CEA1.17ng/mL CA19-916.31U/ml CA1259.62U/ml CA24-28.98IU/mL CA5015.90IU/mL
肝炎全套: HAV-IgM - HBcIgM 0.030S/CO HCV-cAg - HEV-IgM - HBeAg 0.00 PEI U/ml Anti-HBe 0.12 PEI U/ml Anti-HBc 0.00 PEI U/ml
炎症反应标志物:CRP 1.37mg/l

诊疗过程:
CT结果输入海信CAS系统后行3D重建及手术规划后,于2016-3-04全麻下行“腹腔镜下探查+肝血管瘤切除术”手术治疗:

术前三维重建及手术方案设计:
将0.625mm双源薄层CT资料的静脉期和动脉期Dicom格式文件导入海信CAS系统。
通过调节窗宽窗位调整CT序号,对肿瘤,肝实质,胆囊,下腔静脉,肿瘤,肝动脉、门静脉及肝静脉等进行三维重建;系统自动计算肿瘤体积和肝脏体积。
模拟手术操作,自动计算切除肿瘤体积。肝脏体积为1294ml,肿瘤体积为158.5ml,肿瘤体积为肝脏体积的12.2%,通过比对40-50岁正常肝脏体积为1368.38±279.24 ml,通过术前模拟手术,精准判断切除后剩余肝脏体积能耐受,避免肝衰竭发生。
术前手术方案的规划。

手术步骤:
麻醉成功后,病人平卧位,常规碘伏消毒手术区皮肤,铺无菌巾、单。于脐上切口约2cm,进气腹针,建立CO2人工气腹,腹内压11-13mmHg,置入11mm Trocar,放入腹腔镜冷光源。探查:肝脏大小色泽正常,肝Ⅵ段、VII段可见一结节,边界大小约8*7cm,边界欠清,未突出于肝表面。胆囊(-),胃肠(-),腹水(-),于剑下2cm、左上腹分别穿孔置入5mm、5mmTrocar。断肝圆韧带,分离肝脏周围粘连,离断右三角韧带,进一步探查见肝血管瘤较大,且周围界限不清,考虑腹腔镜下切除困难且风险较高,遂决定中转开腹,拔出套管,放出CO2,取上腹部J型切口,逐层开腹,沿肝血管瘤包膜边分离、边钳夹,将肝血管瘤沿包膜完整剥离,断面渗血处应用电凝钩电凝止血,对拢缝合创面,肝断面填塞止血敷料一块,于肝断面下及肝上各放置18号引流管一根自右腹部引出。生理盐水冲洗手术区域。查无活动性出血,清点器械、纱布无误。逐层关闭切口。术后血压135/75mmHg,术后病人安返病房。手术顺利,麻醉平稳。手术切除标本家属过目后,送病理检查。结果回示:(肝)海绵状血管瘤伴梗死。手术时手术者可开启Hisense CAS系统手势控制功能,对肿瘤的解剖结构进行实时、全方观察、评估,起到术中导航作用。

术后病理:
(肝)海绵状血管瘤伴梗死。术后给予抗炎、补液、止血等对症支持治疗,患者恢复良好,伤口无渗血渗液,无红肿疼痛,于2016-3-11出院。

随访情况:
随访5天,肿瘤无复发,无转移,肿瘤标志物未升高。
肝切除术后肝脏体积1周:1周:□ml 1月:□ml 3月:□ml 6月:□ml 1年:□ml

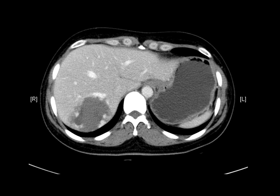
术前CT检查:动脉期

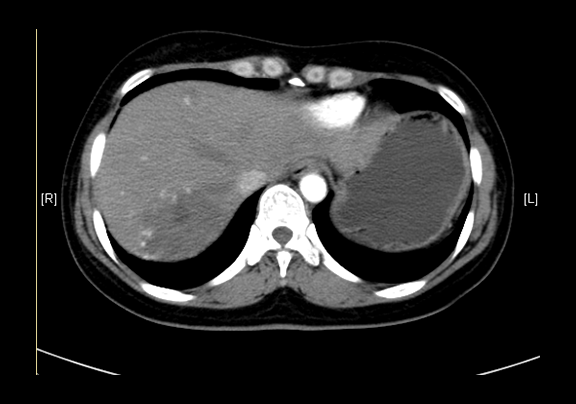
静脉期

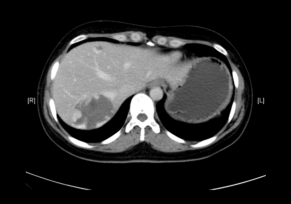
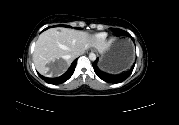
平衡期

术前三维重建:重建图片


重建视频
more