肝血管瘤-CH-001-LT-000372


      一般情况:CH-001-LT-000372,50岁女性患者,身高165cm,体重65.00kg,
      主诉:查体发现肝占位10天。
      现病史:患者于10天前因右上腹外伤于当地医院查体发现肝占位,右上腹隐痛,无腰背部放射痛、皮肤巩膜黄染、恶心、呕吐、寒战、高热、腹泻、血便、咳嗽、咳痰、胸闷、气短、尿频、尿急、尿痛、血尿。行上腹部增强CT示:肝脏多发血管瘤可能性大,胰尾部小囊肿可能性大,左侧输尿管扩张积水,建议手术治疗。
     查体:腹部平坦,对称,无腹壁静脉曲张,无胃肠型和蠕动波,腹部柔软,无压痛及反跳痛,未触及异常包块。肝、脾肋下未触及{位置}、质软、无压痛,Murphy氏征阴性。腹部叩诊:肝上界在右锁骨中线第五肋间,肝、肾区无叩击痛,无移动性浊音。肠鸣音正常,4次/分。未听到血管杂音。

整理:崔楷悦,吴萤      3D:周显军,朱呈瞻
辅助检查: 下腹部增强CT示:考虑肝脏多发血管瘤可能性大。

实验室检查:
血常规:WBC 7.88*10~9/L NEU 3.77*10~9/L RBC 4.86*10~12/L HB 152.00g/L PLT335.00*10~9/L
生化全套:ALT 22.00U/L AST 16.00U/L TP 72.44g/L ALB 45.61g/L GGT 15.00U/L BIL-T 17.78umol/L BIL-D 5.67umol/L BUN 6.33mmol/L CREA 67.00umol/L T-CHO 5.38mmol/L

肿瘤标志物:AFP4.38ng/mL CEA0.69ng/mL CA19-99.64U/ml CA1258.28U/ml CA24-210.29IU/mL CA508.81IU/mL
肝炎全套: HAV-IgM 0.10S/CO HBcIgM 0.080S/CO HCV-cAg 0.08S/CO HEV-IgM 0.03S/CO HBeAg 0.363S/CO Anti-HBe 1.970S/CO Anti-HBc0.08S/CO
炎症反应标志物:CRP <3.16mg/l
诊疗过程:
CT结果输入海信CAS系统后行3D重建及手术规划后,于2016-6-22全麻下行“腹腔镜下肝Ⅶ段部分切除术”手术治疗:

术前三维重建及手术方案设计:
将0.625mm双源薄层CT资料的静脉期和动脉期Dicom格式文件导入海信CAS系统。
通过调节窗宽窗位调整CT序号,对肿瘤,肝实质,胆囊,下腔静脉,肿瘤,肝动脉、门静脉及肝静脉等进行三维重建;系统自动计算肿瘤体积和肝脏体积。
模拟手术操作,自动计算切除肿瘤体积。肝脏体积为1336ml,肿瘤体积为149.3ml,肿瘤体积为肝脏体积的11.2%,通过比对50-60岁正常肝脏体积为1330.41±329.13 ml,通过术前模拟手术,精准判断切除后剩余肝脏体积能耐受,避免肝衰竭发生。
术前手术方案的规划。

手术步骤:
麻醉成功后,病人平卧位,常规碘伏消毒手术区皮肤,铺无菌巾、单。于右下腹脐旁切口约2cm,开放建立CO2人工气腹,置入10mm Trocar,腹内压11-13mmHg,放入腹腔镜冷光源。探查:肝脏大小色泽正常,术中超声检查示:“肝Ⅶ段可见一结节,大小约6*4cm”。胆囊(-),胃肠(-),腹水(-),决定行“腹腔镜下肝脏Ⅶ段部分切除术”。于剑突下、上腹部、左上腹、右上腹、右上腹分别穿孔置入10mm、12mm、5mm、10mm、5mmTrocar。使用超声刀断肝圆韧带,镰状韧带至第二肝门,断肝右三角韧带,冠状韧带,肝结肠韧带,游离右半肝,阻断门静脉右支1小时,沿肿物包膜边缘约用超声刀依次钳夹、切断肝断面各结构,完整切除肿物及邻近部分肝组织。断面渗血处应用电凝钩电凝止血,肝断面填塞止血敷料一块,于肝断面下放置26号引流管一根自右上腹部孔穿出,取出切除之肝肿瘤及邻近部分肝组织,查无活动性出血,清点器械、纱布无误。拔出套管,放出CO2,关闭切口。手术顺利,麻醉满意,术后血压135/75mmHg,术后病人安全返回病房。标本:肝Ⅶ段可见一结节,大小约6*4cm,包膜完整,标本家属过目后送病理手术切除标本家属过目后,送病理检查。结果回示:(肝VII段)海绵状血管瘤(大小5*4cm)。手术时手术者可开启Hisense CAS系统手势控制功能,对肿瘤的解剖结构进行实时、全方观察、评估,起到术中导航作用。

术后病理:
(肝VII段)海绵状血管瘤(大小5*4cm)。术后返病房给予持续心电监护、抗感染,给予补液、抑酸、抗感染、祛痰等治疗,现患者术后恢复可,情况稳定,于2016-7-01出院。

随访情况:
随访7月,符合肝术后改变,较前好转。
肝切除术后肝脏体积1周:□ml 1月:□ml 3月:□ml 6月:□ml 1年:□ml

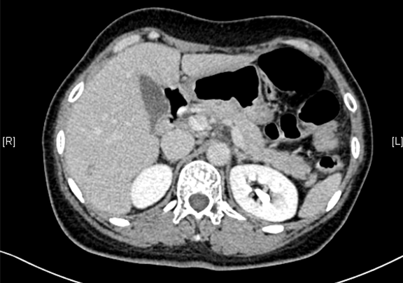
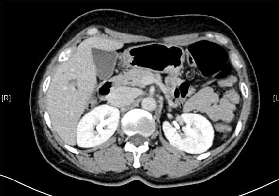
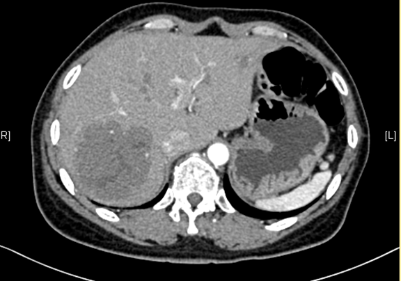
术前CT检查:动脉期

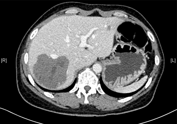
静脉期

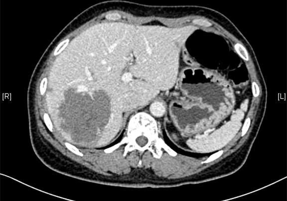
平衡期

术前三维重建:重建图片


重建视频
more