海绵状血管瘤-CH-001-LT-000373


      一般情况:CH-001-LT-000373,31岁女性患者,身高157cm,体重58.00kg,
      主诉:右上腹不适1月余。
      现病史:患者1月前无明显诱因出现右上腹饱胀感,伴右侧肩背不适,伴恶心、嗳气,伴头晕、乏力,无发热,无心悸,无呕吐、呕血,无反酸、烧心,无心慌、胸闷、胸痛,无咳嗽、咳痰,无腹泻、便秘,于当地医院就诊,行“抗炎”治疗(具体不详),疗效不佳。今患者为求进一步治疗,遂来我院,门诊行上腹部增强CT检查示:肝右叶巨大占位,血管瘤可能性大。
     查体:腹部平坦,对称,无腹壁静脉曲张。右上腹轻度压痛,无反跳痛。Murphy征阴性。未触及肝、脾、肾及其他肿块。腹部叩诊呈鼓音,肝上界在右锁骨中线第五肋间。肝、肾区无叩痛,无移动性浊音。肠鸣音4-5次/分,未闻及血管杂音。

整理:崔楷悦,吴萤      3D:周显军,朱呈瞻
辅助检查: 下腹部增强CT示:肝右叶巨大占位。

实验室检查:
血常规:WBC 6.32*10~9/L NEU 3.78*10~9/L RBC 5.04*10~12/L HB 139.00g/L PLT226.00*10~9/L
生化全套:ALT 29.00U/L AST 23.00U/L TP 72.79g/L ALB 46.82g/L GGT 23.00U/L BIL-T 16.55umol/L BIL-D 4.88umol/L BUN 5.24mmol/L CREA 66.00umol/L T-CHO 5.83mmol/L

肿瘤标志物:AFP3.09ng/mL CEA1.33ng/mL CA19-98.96U/ml CA1257.06U/ml CA24-23.30IU/mL CA506.25IU/mL
肝炎全套: HAV-IgM 0.10S/CO HBcIgM 0.070S/CO HCV-cAg 0.08S/CO HEV-IgM 0.03S/CO HBeAg 0.368S/CO Anti-HBe 1.840S/CO Anti-HBc0.080S/CO
炎症反应标志物:CRP <3.16mg /l
诊疗过程:
CT结果输入海信CAS系统后行3D重建及手术规划后,于2016-6-17全麻下行“肝部分切除术+胆囊切除术”手术治疗:

术前三维重建及手术方案设计:
将0.625mm双源薄层CT资料的静脉期和动脉期Dicom格式文件导入海信CAS系统。
通过调节窗宽窗位调整CT序号,对肿瘤,肝实质,胆囊,下腔静脉,肿瘤,肝动脉、门静脉及肝静脉等进行三维重建;系统自动计算肿瘤体积和肝脏体积。
模拟手术操作,自动计算切除肿瘤体积。肝脏体积为1336ml,肿瘤体积为860.6ml,肿瘤体积为肝脏体积的64.4%,通过比对30-40岁正常肝脏体积为1323.35±298.47 ml,通过术前模拟手术,精准判断切除后剩余肝脏体积能耐受,避免肝衰竭发生。
术前手术方案的规划。

手术步骤:
麻醉成功后,病人平卧位,常规碘伏消毒手术区皮肤,铺无菌巾、单。取右上腹部肋缘下切口,长约15cm,分层入腹,纱布垫护皮,上框架拉钩。探查见:肝脏质地及形态可,肝右后叶前下部可触及直径12cm不规则肿块,考虑肝血管瘤可能性大。断肝圆韧带,镰状韧带至第二肝门,断冠状韧带,肝结肠韧带,游离右半肝。游离第一肝门,断扎胆囊动脉、胆囊管,沿胆囊床剖离胆囊。向上分离肝门板,游离门脉右支,放置置肝门阻断带,阻断门脉右支,见肿瘤缺血性改变。距肿瘤1cm画出肿瘤切除范围。钳夹、切断、结扎肝断面各结构。切除肿瘤及部分肝组织。断面渗血处分别缝扎止血,填塞止血敷料后。温蒸馏水3000ml冲洗腹腔,止血,于肝断面旁放置引流管1根于右侧腹穿孔引出。清点纱布器械无误,分层缝合腹壁切口。术后血压120/60mmHg。术后病人安返病房。手术顺利,麻醉满意,解剖标本,肝右叶巨大肿块。家属看过后,送病理检查。结果回示:(肝右叶)海绵状血管瘤(大小10*7*3cm)。手术时手术者可开启Hisense CAS系统手势控制功能,对肿瘤的解剖结构进行实时、全方观察、评估,起到术中导航作用。

术后病理:
(肝右叶)海绵状血管瘤(大小10*7*3cm),部分区域伴粘液变,紧邻肝被膜,未累及肝断端;慢性胆囊炎。

随访情况:
随访9天,符合肝术后改变,较前好转。
肝切除术后肝脏体积1周:□ml 1月:□ml 3月:□ml 6月:□ml 1年:□ml

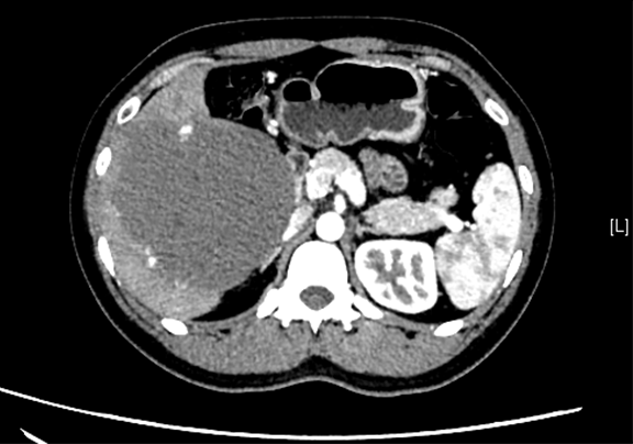
术前CT检查:动脉期

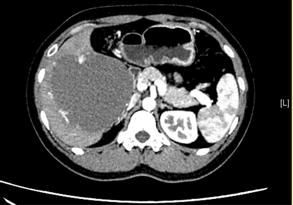
静脉期

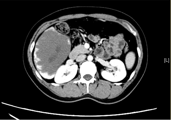
平衡期

术前三维重建:重建图片


重建视频
more