中文
|
English
首页
项目介绍
负责人介绍
学术委员会
Dong's肝脏分段体系
肝脏体积
成人肝脏体积
小儿肝脏体积
典型病例
正常肝脏数据库
成人正常肝脏
小儿正常肝脏
计算机辅助手术
肝脏肿瘤
成人肝脏肿瘤
小儿肝脏肿瘤
门脉高压症
脾脏疾病
先天性胆管扩张症
胰腺肿瘤
其他疾病
Couinaud 肝脏分段
数字医学概念
各数据库后台管理系统入口:
肝脏数据库
胆道数据库
胰腺数据库
Dong's肝脏分型数据库
肝脏体积数据库
肝脏门静脉数据库
肝静脉数据库
肝细胞肝癌-CH-001-LT-000033
您的浏览器不支持 video 标签。
一般情况:CH-001-LT-000033,67岁男性患者,身高167cm,体重52kg,
主诉:查体发现AFP升高20余天。
现病史:患者自述20天前,于当地医院健康查体,行血清肿瘤标志物检查示AFP31.71ng/ml,患者无乏力,无恶心、呕吐,无腹胀、腹泻,无寒战,无头痛头晕,无皮肤粘膜黄染,建议患者到上级医院就诊。遂就诊于黄岛区第二人民医院,行上腹部CT检查,诊断“肝占位性病变”。患者为求进一步诊治就诊于我院消化内科门诊,行上腹部增强CT,诊断:肝右叶占位性病变,考虑肝Ca并肝右静脉瘤栓,副脾肝内外胆管扩张。为行手术治疗收入我科。患者自发病以来精神状态一般,食欲较前无明显变化,睡眠良好,大、小便正常,体力情况良好,近1月体重下降约5kg。
查体:腹部平坦,对称,无腹壁静脉曲张,无胃肠型和蠕动波,腹部柔软,无压痛及反跳痛,未触及异常包块。右侧肋缘下2cm可触及肝脏,质软,无压痛,脾肋下未触及,Murphy氏征阴性。腹部叩诊:肝上界在右锁骨中线第五肋间,肝、肾区无叩击痛,无移动性浊音。肠鸣音正常,3次/分。未听到血管杂音。
整理:崔楷悦,吴萤 3D:周显军,朱呈瞻
辅助检查:
上腹部动态增强CT:1. 肝右叶占位性病变,考虑肝Ca 并肝右静脉瘤栓可能性大,请结合临床2. 副脾3. 肝内外胆管扩张,必要时MRCP检查4. 胰腺颈部小囊状低密度影,建议MRI 检查
实验室检查:
血常规:WBC 3.89*10~9/L NEU 1.68*10~9/L RBC 4.43*10~12/L HB 140g/L PLT110*10~9/L
生化全套:ALT 35.40U/L AST 38.60U/L TP 61.70g/L ALB 37.30g/L GGT 54.70U/L BIL-T 17.6umol/L BUN 4.50mmol/L CREA 91.30umol/L
肝炎全套: HBcIgM >3.75S/CO HCV-cAg 阴性 HEV-IgM 阴性 Anti-HBe 阴性
诊疗过程:
CT结果输入海信CAS系统后行3D重建及手术规划后,于2015-6-29全麻下行“右半肝切除+胆囊切除术”手术治疗:
术前三维重建及手术方案设计:
将0.625mm双源薄层CT资料的静脉期和动脉期Dicom格式文件导入海信CAS系统。
通过调节窗宽窗位调整CT序号,对肿瘤,肝实质,胆囊,下腔静脉,肿瘤,肝动脉、门静脉及肝静脉等进行三维重建;系统自动计算肿瘤体积和肝脏体积。
模拟手术操作,自动计算切除肿瘤体积。肝脏体积为1058ml,肿瘤体积为562.1ml,肿瘤体积为肝脏体积的53.1%,通过比对60-70岁正常肝脏体积为1262.7±284.31 ml,通过术前模拟手术,精准判断切除后剩余肝脏体积能耐受,避免肝衰竭发生。
术前手术方案的规划。
手术步骤:
根据手术规划系统提供最优虚拟肝切除步骤解剖。麻醉成功后,病人平卧位,常规碘伏消毒手术区皮肤,铺无菌巾、单。取上腹部"J"型切口,长约25cm,分层入腹,护皮,上框架拉钩。探查见:肝呈结节性肝硬化,右肝可见一大小约10cm肿物,向下向后生长,未侵及周围器官。分离第一肝门,丝带悬吊肝右动脉、门静脉右支及肝右胆管,断右肝胆管及肝右动脉,近端prolene线缝合,远端结扎。肝右静脉注入3支亚甲蓝,见右半肝染色,沿染色线作预定切线。分离第二肝门,断扎肝右静脉。沿预定切线,结合超吸器、超声刀分离肝组织,断扎肝断面血管,见肝右静脉内有癌栓,开放远端静脉,取出栓子后间断缝合。切除右半肝。温蒸馏水1000ml冲洗腹腔,止血,于肝断面旁放置引流管2根于右侧腹穿孔引出。清点纱布器械无误,分层缝合腹壁切口。术中出血约500ml。术后血压120/70mmHg。术后病人返PACU。手术顺利,麻醉满意,出血不多,未输血,术后病人先进入麻醉恢复室,苏醒后回病房。术后标本送术中冰冻病理检查,结果回示:小圆细胞恶性肿瘤。手术时手术者可开启Hisense CAS系统手势控制功能,对肿瘤的解剖结构进行实时、全方观察、评估,起到术中导航作用。
术后病理:
1.(右半肝)低分化肝细胞肝癌(结节型,直径10cm,2cm),侵及局部肝被膜,紧临肝断端;送检(12b组)为纤维脂肪组织。免疫组化:CK7散在(+)、CK20散在(+)、GPC-3(+)、Heppar-1(+)、VEGF(-)、EGFR(2+)、CK19(-)、Ki-67阳性率约40%,经CD31、D2-40染色示间质脉管内见癌栓形成。2.(门静脉右支瘤栓)低分化肝细胞肝癌。3.慢性胆囊炎。术后给予抗炎、补液、止血,保肝等对症支持治疗,患儿恢复良好,伤口无渗血渗液,无红肿疼痛,于2015-7-14出院。
随访情况:
随访2年,1. 肝右叶术后复发并腹网膜转移可能性大,请结合临床2. 肝左叶多发团片影,考虑转移瘤可能性大,请结合临床综合评价3. 肝内外胆管扩张,请结合临床4. 胆囊未见显影,请结合临床5. 肝硬化、脾大6. 腹膜后多发小淋巴结,请结合临床
肝切除术后肝脏体积1周:□ml 1月:□ml 3月:□ml 6月:□ml 1年:□ml
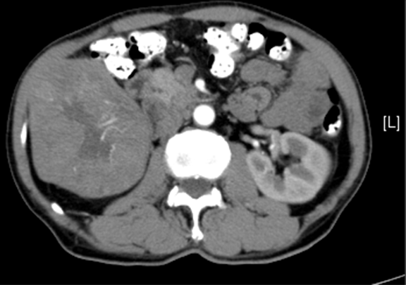
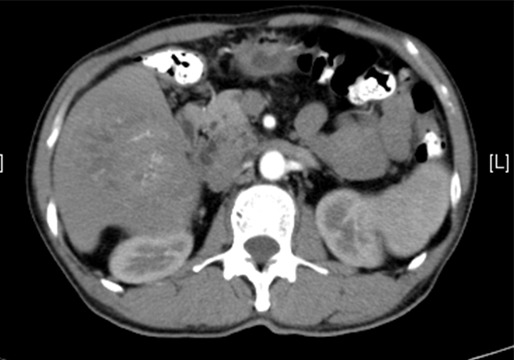
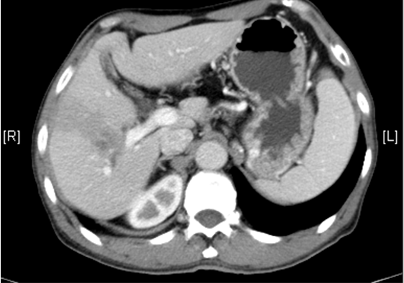
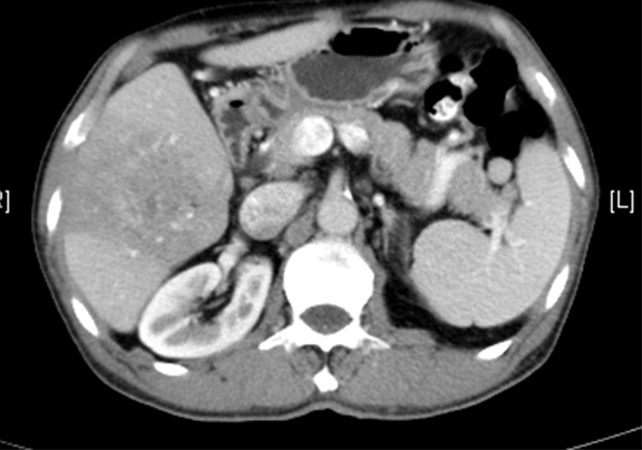
术前CT检查:
动脉期
静脉期
平衡期
术前三维重建:
重建图片
重建视频
您的浏览器不支持 video 标签。
您的浏览器不支持 video 标签。
您的浏览器不支持 video 标签。
您的浏览器不支持 video 标签。
more
merge