中文
|
English
首页
项目介绍
负责人介绍
学术委员会
Dong's肝脏分段体系
肝脏体积
成人肝脏体积
小儿肝脏体积
典型病例
正常肝脏数据库
成人正常肝脏
小儿正常肝脏
计算机辅助手术
肝脏肿瘤
成人肝脏肿瘤
小儿肝脏肿瘤
门脉高压症
脾脏疾病
先天性胆管扩张症
胰腺肿瘤
其他疾病
Couinaud 肝脏分段
数字医学概念
各数据库后台管理系统入口:
肝脏数据库
胆道数据库
胰腺数据库
Dong's肝脏分型数据库
肝脏体积数据库
肝脏门静脉数据库
肝静脉数据库
胆管细胞癌-CH-001-LT-000346
您的浏览器不支持 video 标签。
一般情况:CH-001-LT-000346,74岁男性患者。
主诉:胰十二指肠术后2年,上腹不适20余天。
现病史:患者2年前因“胆管肿物”于外院行“胰十二指肠切除术”,术后给予保肝、抗炎、静脉营养(具体药物不详)等对症支持治疗,术后病理示:胆总管中分化腺癌,侵及胆总管全层并累及胰腺,未累及胆管、胰腺断端,胃大弯、十二指肠淋巴结未见肠转移。患者术后恢复可,未诉明显不适,未行放、化疗。20余天前无明显诱因出现上腹部饱胀不适,无反酸、烧心,无恶心、呕吐,无腹泻,无呕血、黑便,无头痛、头晕,无心慌、胸闷、胸痛,无咳嗽、咳痰、咯血,不厌油腻,伴便秘,大便干洁,5-6天/次,小便未见明显异常。遂于解放军四0一医院就诊,行PET-CT示:肝右叶大片状低密度影,考虑转移瘤,小网膜囊及肠系膜多发淋巴结,考虑淋巴转移。生化检查CA199>1000ng/L。患者自术后以来体重下降约10Kg。
查体:上腹部可见大小约25cm斜行手术瘢痕,左侧胸壁静脉曲张,腹部无静脉曲张,无胃肠型和蠕动波,腹部柔软,无压痛及反跳痛,未触及异常包块。肝、脾肋下未触及,Murphy氏征阴性。腹部叩诊:肝上界在右锁骨中线第五肋间,肝、肾区无叩击痛,无移动性浊音。肠鸣音正常,4-5次/分。未听到血管杂音。
整理:崔楷悦,吴萤 3D:周显军,朱呈瞻
辅助检查:
下腹部增强CT示:肝右前叶胆管细胞癌并胆管扩张可能性大。
实验室检查:
血常规:WBC 7.03*10~9/L NEU 4.78*10~9/L RBC 4.52*10~12/L HB 136.00g/L PLT230.00*10~9/L
生化全套:ALT 60.00/L AST 40.00U/L TP 74.28g/L ALB 39.57g/L GGT 219.00U/L BIL-T 15.66umol/L BIL-D 6.13umol/L BUN 5.75mmol/L CREA 67.00umol/L T-CHO 5.64mmol/L
肿瘤标志物:AFP4.16ng/mL CEA1.69ng/mL CA19-9>1000.00U/ml CA12526.27U/ml CA24-268.52IU/mL CA50>500.00IU/mL
肝炎全套: HAV-IgM 0.10S/CO HBcIgM 0.030S/CO HCV-cAg 0.21S/CO HEV-IgM 0.03S/CO HBeAg 0.348S/CO Anti-HBe 1.740S/CO Anti-HBc0.110S/CO
炎症反应标志物:CRP 6.07mg/l
诊疗过程:
CT结果输入海信CAS系统后行3D重建及手术规划后,于2016-8-03全麻下行“脾切除术”手术治疗:
术前三维重建及手术方案设计:
将0.625mm双源薄层CT资料的静脉期和动脉期Dicom格式文件导入海信CAS系统。
通过调节窗宽窗位调整CT序号,对肝实质,胆囊,下腔静脉,肝动脉、门静脉及肝静脉等进行三维重建;系统自动计算肝脏体积。
模拟手术操作,肝脏体积为957.4ml,通过比对9-10岁正常肝脏体积为957.57±215.96 ml,通过术前模拟手术,可进行脾切除术。
术前手术方案的规划。
诊疗过程:
CT结果输入海信CAS系统后行3D重建及手术规划后,于2016-7-17全麻下行“肝癌肝部分切除术+肠粘连松解术”手术治疗:
术前三维重建及手术方案设计:
将0.625mm双源薄层CT资料的静脉期和动脉期Dicom格式文件导入海信CAS系统。
通过调节窗宽窗位调整CT序号,对肿瘤,肝实质,胆囊,下腔静脉,肿瘤,肝动脉、门静脉及肝静脉等进行三维重建;系统自动计算肿瘤体积和肝脏体积。(图2—截图1---后链接截图2)
模拟手术操作,自动计算切除肿瘤体积。肝脏体积为1324ml,肿瘤体积为286.1ml,肿瘤体积为肝脏体积的21.6%,通过比对70-80岁正常肝脏体积为1118.08±190.14ml,通过术前模拟手术,精准判断切除后剩余肝脏体积能耐受,避免肝衰竭发生。术前手术方案的规划。
手术步骤:
麻醉成功后,病人平卧位,常规碘伏消毒手术区皮肤,铺无菌巾、单。取右肋缘下切口,分层入腹,纱布垫护皮,上框架拉钩。探查见:腹腔粘连严重,肝脏质地及形态可,右肝Ⅴ、Ⅵ段交界处,可触及直径8cm不规则肿块。既往胰十二指肠切除术手术史,仔细分离腹腔粘连,游离右半肝,肿瘤未侵犯胆肠吻合口,决定保留吻合口,行姑息性肝癌肝部分切除术。游离肝脏与周围组织粘连,沿肿瘤边缘约1cm,依次钳夹、切断、结扎肝断面各结构,切除肿瘤及部分肝组织。断面渗血处分别缝扎止血,填塞止血敷料后,将创面对拢缝合。温蒸馏水3000ml冲洗腹腔,止血,于肝断面旁放置引流管1根于右侧腹壁穿孔引出。清点纱布器械无误,分层缝合腹壁切口。术中出血约500ml,未输血。术后血压120/65mmHg,术后病人安返病房。手术顺利,麻醉满意,解剖标本,肿块直径约8cm,灰白色,家属过目后送病理检查。结果回示:(肝右叶)低分化腺癌。手术时手术者可开启Hisense CAS系统手势控制功能,对肿瘤的解剖结构进行实时、全方观察、评估,起到术中导航作用。
术后病理:
(肝右叶)低分化腺癌,结合形态学及免疫组化结果,意见为低分化胆管细胞癌,肿瘤于肝内弥漫分布(大者范围7*4),累及局部肝被膜,神经侵犯(+),紧邻肝断端,部分区域似累及手术切缘(请结合术中所见综合评价);周边肝组织萎缩伴肝细胞轻度水肿、淤胆,汇管区纤维增生伴慢性炎细胞浸润。
术后给予化痰、平喘、雾化、抗感染、输注白蛋白、静脉营养等对症支持治疗,于2016-8-08出院。
随访情况:
随访1月,符合肝术后改变,右上腹腔团片状液气混杂密度影,胃术后所见,腹腔积液。
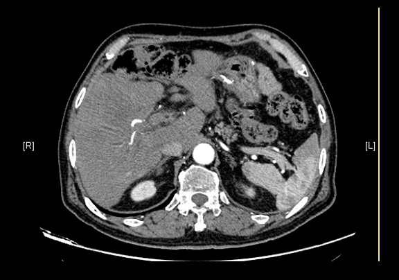
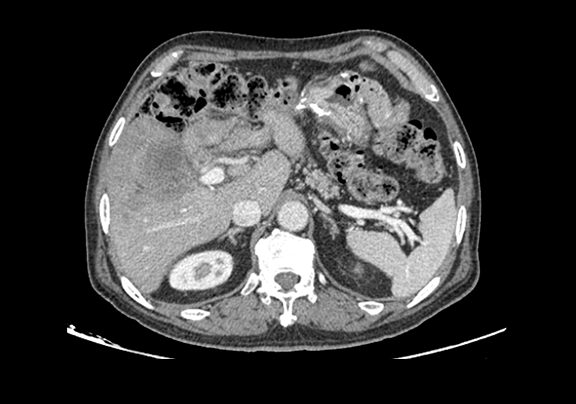
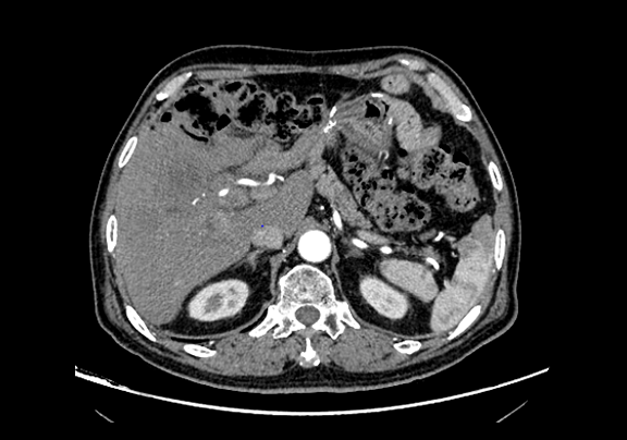
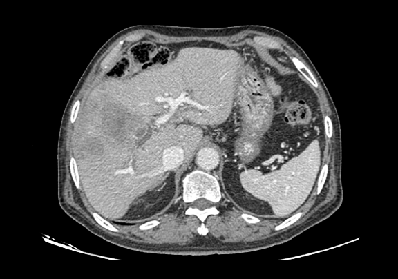
术前CT检查:
动脉期
静脉期
平衡期
术前三维重建:
重建图片
重建视频
您的浏览器不支持 video 标签。
您的浏览器不支持 video 标签。
您的浏览器不支持 video 标签。
您的浏览器不支持 video 标签。
more
merge