中文
|
English
首页
项目介绍
负责人介绍
学术委员会
Dong's肝脏分段体系
肝脏体积
成人肝脏体积
小儿肝脏体积
典型病例
正常肝脏数据库
成人正常肝脏
小儿正常肝脏
计算机辅助手术
肝脏肿瘤
成人肝脏肿瘤
小儿肝脏肿瘤
门脉高压症
脾脏疾病
先天性胆管扩张症
胰腺肿瘤
其他疾病
Couinaud 肝脏分段
数字医学概念
各数据库后台管理系统入口:
肝脏数据库
胆道数据库
胰腺数据库
Dong's肝脏分型数据库
肝脏体积数据库
肝脏门静脉数据库
肝静脉数据库
(脾)海绵状血管瘤
您的浏览器不支持 video 标签。
一般情况:CH-001-N-000136,56岁女性患者,身高155cm,体重63kg,
主诉:左上腹疼痛3月,加重2天。
现病史:患者3月前无明显诱因出现左上腹疼痛,为钝痛,偶有针刺感,偶伴腹胀,无其他部位放射,偶有嗳气,无反酸、烧心感。无发热、寒战,无咳嗽、咳痰。未行相关处理。2日前腹痛加重,就诊于青岛海慈医院,行腹部CT平扫示脾脏略低密度灶,肝左叶内略低密度灶,未做特殊治疗。为求进一步诊治就诊于我院,门诊以腹部肿物收入我科,患者自发病以来神志清,精神可,食欲可,大小便无明显改变,体重无明显变化。
查体:腹部平坦,对称,无腹壁静脉曲张,无胃肠型和蠕动波,腹部柔软,无压痛及反跳痛,左上腹可触及一4X5cm包块,质稍硬,活动度差。肝、脾肋下未触及、质软、无压痛,Murphy氏征阴性。腹部叩诊:肝上界在右锁骨中线第五肋间,肝、肾区无叩击痛,无移动性浊音。肠鸣音正常,4次/分。未听到血管杂音。
整理:崔楷悦,吴萤 3D:周显军,朱呈瞻
辅助检查:2015-12-07
全腹CT 肝左叶内略低密度灶,脾脏内略低密度灶
肝胆胰脾彩色多普勒超声检查 脾脏实性占位
上腹部CT平扫 “脾脏术后”改变,请结合临床综合评价,肝脏血管瘤可能性大,请综合临床及其它检查进一步诊断
实验室检查:
血常规:WBC 17.31*10~9/L NEU 15.63*10~9/L RBC 4.34*10~12/L HB 125g/L PLT95*10~9/L
生化全套:生化全套:ALT 11.00U/L AST 12.00U/L TP 66.83g/L ALB 42.54g/L GGT 14.00U/L BIL-T 22.50umol/L BUN 6.21mmol/L CREA 79.00umol/L
肝炎全套: HBcIgM 0.040S/CO HCV-cAg 0.080S/CO HEV-IgM 0.030S/CO Anti-HBe 2.130S/CO
诊疗过程:
CT结果输入海信CAS系统后行3D重建及手术规划后,于2015-5-25全麻下行“达芬奇机器人腹腔镜脾切除+胰尾修补术”手术治疗:
术前三维重建及手术方案设计:
将0.625mm双源薄层CT资料的静脉期和动脉期Dicom格式文件导入海信CAS系统。
通过调节窗宽窗位调整CT序号,对肿瘤,肝实质,胆囊,下腔静脉,肿瘤,肝动脉、门静脉及肝静脉等进行三维重建;系统自动计算肿瘤体积和肝脏体积。
模拟手术操作,自动计算切除肿瘤体积。肝脏体积为1054ml,肿瘤体积为38.45ml,肿瘤体积为肝脏体积的3.6%,通过比对50-60岁正常肝脏体积为1330.41±329.13 ml,通过术前模拟手术,精准判断切除后剩余肝脏体积能耐受,避免肝衰竭发生。
术前手术方案的规划。
手术步骤:
根据手术规划系统提供最优虚拟肝切除步骤解剖,麻醉成功后,病人右侧卧位,悬吊左前臂,常规碘伏消毒手术区皮肤,铺无菌巾、单。于脐部进气腹针,建立CO2人工气腹,腹内压12-13mmHg。于左上腹置入12mm Trocar,放入达芬奇腔镜镜头。探查:肝脏颜色、质地可,胆囊无粘连,腹水(-),脾脏下极见大小约15*10*10cm肿物。于左下腹下(1号臂)、上腹正中(2号臂)置入8mmTrocar,左锁骨中线内侧(助手孔)置12mmTrocar。 Docking,对好sweet point,将镜头孔、1、2号孔Trocar分别与机械臂固定。游离脾下极动静脉,hemolock结扎后切断。游离脾肾韧带,超声刀切开脾胃韧带。游离脾动脉,hemolock结扎后切断。分别游离2支脾静脉,hemolock结扎后切断。胰尾脾门粘连紧密,修补胰尾创面。生理盐水冲洗创面,查无活动性出血。将1号孔与助手孔连线做长约3cm切口,将脾脏完整取出。左上腹放橡胶管1根,经左上腹Trocar孔引出固定。移开机械臂,拔除Trocar,缝合Trocar孔各层。。麻醉成功后,病人平卧位,常规碘伏消毒手术区皮肤,铺无菌巾、单。取上腹部"J"型切口,长约25cm,分层入腹,护皮,上框架拉钩。探查见:肝呈结节性肝硬化,右肝可见一大小约10cm肿物,向下向后生长,未侵及周围器官。分离第一肝门,丝带悬吊肝右动脉、门静脉右支及肝右胆管,断右肝胆管及肝右动脉,近端prolene线缝合,远端结扎。肝右静脉注入3支亚甲蓝,见右半肝染色,沿染色线作预定切线。分离第二肝门,断扎肝右静脉。沿预定切线,结合超吸器、超声刀分离肝组织,断扎肝断面血管,见肝右静脉内有癌栓,开放远端静脉,取出栓子后间断缝合。切除右半肝。温蒸馏水1000ml冲洗腹腔,止血,于肝断面旁放置引流管2根于右侧腹穿孔引出。清点纱布器械无误,分层缝合腹壁切口。术中出血约500ml。术后血压120/70mmHg。术后病人返PACU。手术顺利,麻醉满意,出血不多,未输血,术后病人先进入麻醉恢复室,苏醒后回病房。术后标本送术中冰冻病理检查,结果回示:小圆细胞恶性肿瘤。手术时手术者可开启Hisense CAS系统手势控制功能,对肿瘤的解剖结构进行实时、全方观察、评估,起到术中导航作用。
术后病理:
(脾)海绵状血管瘤(大小4*3cm)。术后给予抗炎、补液、止血,保肝等对症支持治疗,患儿恢复良好,伤口无渗血渗液,无红肿疼痛,于2015-5-30出院。
随访情况:
随访1月,“脾脏术后”改变,请结合临床综合评价;肝脏血管瘤可能性大,请综合临床及其它检查进一步诊断。
肝切除术后肝脏体积1周:□ml 1月:□ml 3月:□ml 6月:□ml 1年:□ml
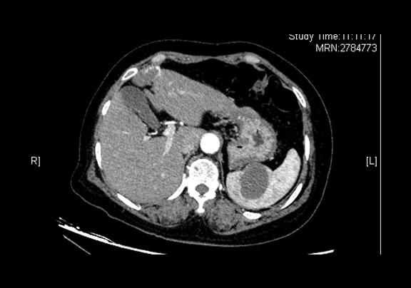
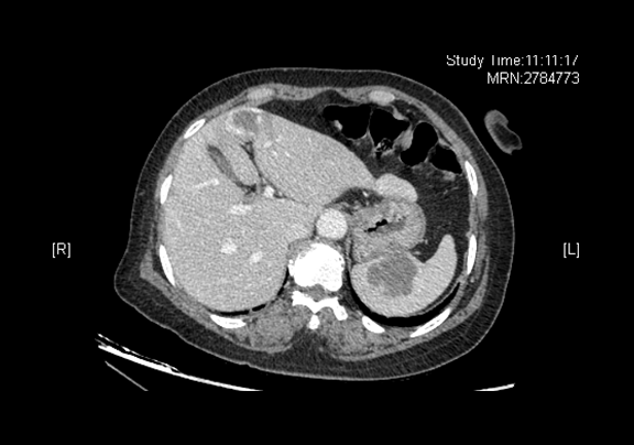
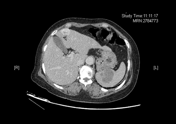
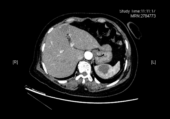
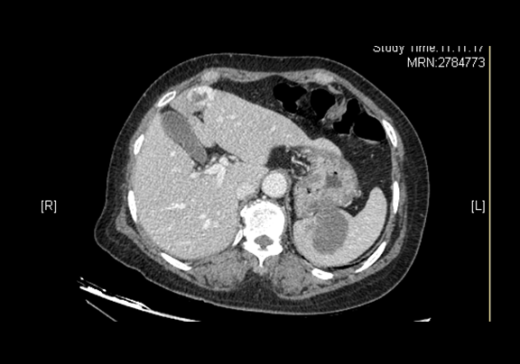
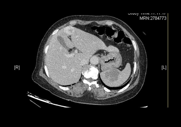
术前CT检查:
动脉期
静脉期
平衡期
术前三维重建:
重建图片
重建视频
您的浏览器不支持 video 标签。
您的浏览器不支持 video 标签。
您的浏览器不支持 video 标签。
您的浏览器不支持 video 标签。
more
merge