中文
|
English
首页
项目介绍
负责人介绍
学术委员会
Dong's肝脏分段体系
肝脏体积
成人肝脏体积
小儿肝脏体积
典型病例
正常肝脏数据库
成人正常肝脏
小儿正常肝脏
计算机辅助手术
肝脏肿瘤
成人肝脏肿瘤
小儿肝脏肿瘤
门脉高压症
脾脏疾病
先天性胆管扩张症
胰腺肿瘤
其他疾病
Couinaud 肝脏分段
数字医学概念
各数据库后台管理系统入口:
肝脏数据库
胆道数据库
胰腺数据库
Dong's肝脏分型数据库
肝脏体积数据库
肝脏门静脉数据库
肝静脉数据库
胆囊癌
您的浏览器不支持 video 标签。
一般情况:CH-001-N-000168,60岁男性患者,身高169cm,体重59.00kg。
主诉:腹痛5月,查体发现胆囊占位20天
现病史:患者5月前无明显诱因出现右上腹疼痛,为间歇性痛,加重时伴腰背部放射,无寒战及发热,无恶心呕吐,无头痛及头晕,无呕血及便血,无腹泻及便秘,无咳嗽及咳痰。曾于当地社区医院就诊,考虑胆囊炎,给予消炎利胆片口服治疗,效果可。20天前患者再次出现右上腹疼痛,自行口服消炎利胆片效果不佳,于青岛阜外心血管病医院就诊,行腹部CT示胆囊占位,性质不定,给予抗感染、补液及支持治疗,症状好转。后于解放军401医院行PET-CT考虑胆囊癌可能性大。
查体:腹部平坦,对称,无腹壁静脉曲张,无胃肠型和蠕动波,右上腹部及中腹部疼痛,压痛,无反跳痛,未触及异常包块。肝、脾肋下未触及,Murphy氏征阴性。腹部叩诊:肝上界在右锁骨中线第五肋间,肝、肾区无叩击痛,无移动性浊音。
整理:崔楷悦,吴萤 3D:周显军,朱呈瞻
辅助检查:
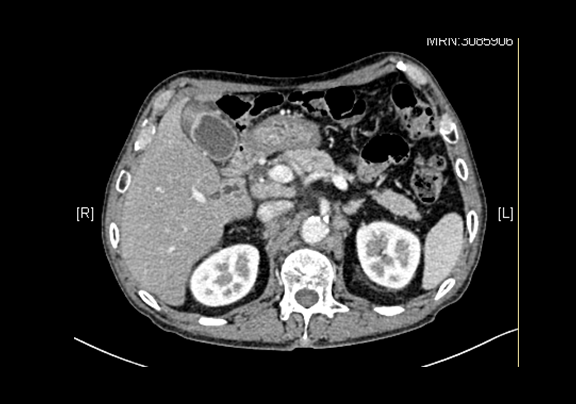
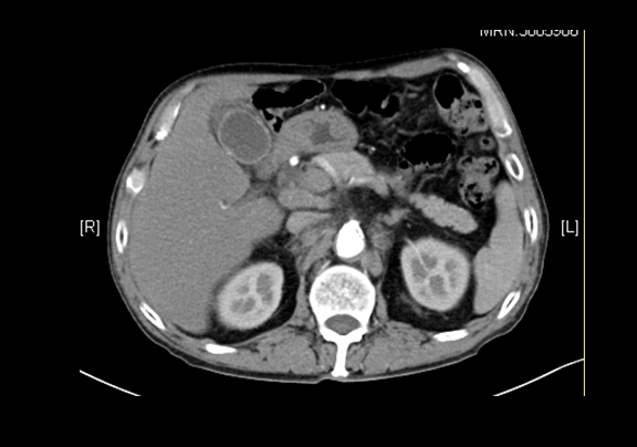
下腹部增强CT示:胆囊壁局限性不均匀增厚;疑似胆囊Ca;肝内外胆管扩张、肝左内叶类圆低密度影,感染性病变可能性大,肝左内叶类圆低密度影,暂不除外转移。
实验室检查:
血常规:血常规:WBC 8.44*10~9/L NEU 5.07*10~9/L RBC 4.33*10~12/L HB 149g/L PLT 283*10~9/L
生化全套:ALT 29.00U/L AST 28.00U/L TP 67.65g/L ALB 35.27g/L GGT 250.00U/L BIL-T 8.70umol/L BIL-D 3.30umol/L BUN 3.84mmol/L CREA 65.00umol/L T-CHO 4.46mmol/L Trig 1.38mmol/L
肿瘤标志物:AFP4.68ng/mL CEA4.66ng/mL CA19-92.45U/ml CA12510.69U/ml CA2421.07U/ml CA500.50U/ml
肝炎全套: HAV-IgM 0.10S/CO HBcIgM 0.070S/CO HCV-cAg 0.08S/CO HEV-IgM 0.03S/CO HBeAg 0.431S/CO Anti-HBe 1.600S/CO Anti-HBc 0.540S/CO
炎症反应标志物:CRP 17.50mg/l
诊疗过程:
CT结果输入海信CAS系统后行3D重建及手术规划后,于2016-8-03全麻下行“脾切除术”手术治疗:
术前三维重建及手术方案设计:
将0.625mm双源薄层CT资料的静脉期和动脉期Dicom格式文件导入海信CAS系统。
通过调节窗宽窗位调整CT序号,对肿瘤,肝实质,胆囊,下腔静脉,肿瘤,肝动脉、门静脉及肝静脉等进行三维重建;系统自动计算肿瘤体积和肝脏体积。
术前手术方案的规划。
手术步骤:
麻醉成功后,病人平卧位,常规碘伏消毒手术区皮肤,铺无菌巾、单。取上腹部反“L”型切口,长约20cm,分层入腹,保护切口,置框架拉钩。洗手探查:肝脏质地韧,IVb段可扪及大小约2.5cm肿物,胆囊张力高,与周围粘连,胆囊底部可触及质硬肿块,约3cm*4cm大小,肝门部可触及多枚肿大淋巴结。胆总管无明显扩张。胃肠(-)。决定行胆囊癌根治性切除+肝脏IV、V段部分切除+肝门淋巴结清扫术。分离粘连,显露肝门,仔细解剖,自十二指肠上方清扫脂肪及淋巴组织。解剖肝门部组织,骨骼化胆总管,肝固有动脉,门静脉,断扎胆囊管及胆囊动脉。在肝脏表面Ⅳ、Ⅴ段做预定切线,阻断第一肝门,依次钳夹、切断肝组织,结扎相应的门静脉分钟与肝静脉分支,将部分肝Ⅳ、Ⅴ段及胆囊整块切除。松开阻断,阻断时间16分钟。肝断面渗血处分别缝扎止血,温蒸馏水1000ml冲洗腹腔,止血,创面覆盖止血敷料。于小网膜孔置引流管1根于右侧腹壁穿孔引出。清点纱布器械无误,分层缝合腹壁切口。手术顺利,麻醉平稳,术中出血约50ml,未输血。术后血压/mmHg,心率次/分。术后病人入PACU。标本:剖开胆囊可见肿物位于胆囊底部,大小约4cm×3cm,色灰白,质硬。肝脏IVb段内可见灰白色肿物,约2.5cm×2cm。标本经病人家属过目后送病理检查,结果回示:(胆囊)低分化鳞状细胞癌(大小3.5*3*2.5cm)。手术时手术者可开启Hisense CAS系统手势控制功能,对肿瘤的解剖结构进行实时、全方观察、评估,起到术中导航作用。
术后病理:
1、(胆囊)低分化鳞状细胞癌(大小3.5*3*2.5cm),侵达浆膜,未累及胆囊管断端,送检12a(0/8)、12b(0/1)及12p(0/1)淋巴结内均未见癌转移;
2、肝组织内见低分化鳞状细胞癌浸润(范围1.7*1.7cm),形态与胆囊鳞癌形态较一致,考虑源自胆囊,肝断端未见癌累及。
术后恢复可,给予保肝,抗炎,抑酸等对症支持治疗,现患者一般情况可,于2016-5-03出院。
随访情况:
随访8月,胆囊术后、肝部分切除术后,胆总管、肝内胆管扩张,肝左叶类圆形低密度灶;腹腔内、腹膜后多发肿大淋巴结影,考虑转移瘤可能性大。
肝切除术后肝脏体积:1周:□ml 1月:□ml 3月:□ml 6月:□ml 1年:□ml
术前CT检查:
动脉期
静脉期
术前三维重建:
重建图片
重建视频
您的浏览器不支持 video 标签。
您的浏览器不支持 video 标签。
您的浏览器不支持 video 标签。
您的浏览器不支持 video 标签。
more
merge